| Home page | História | Instrumentos | Técnica | Indicações | Contra-indicações | Complicações | Imagens | Vídeos | Temas específicos |
| Fórum | Referências | Cursos | Enquete - opinião | Notícias (on-line) | Livro de visitas | Agradecimentos | Pesquisar | Links | Fale conosco |
Este link foi atualizado pela última vez em 01 de outubro de 2003 e revisado em 20 de julho de 2005.
|
PÓLIPO ENDOMETRIAL |
Macroscopia
Externamente são visualizadas como massas aveludadas ou lisas, vermelhas ou alaranjadas. São tumorações sésseis ou pediculadas e de formato ovóide ou alongado. O interior é sólido ou contendo cistos. Nascem no endométrio, projetam-se para a cavidade uterina, ulceram e sangram com facilidade. Volume e número são extremamente variáveis: desde mínimos até preenchendo toda a cavidade uterina, únicos ou múltiplos. A maioria se encontra entre 2 e 4 cm no seu maior diâmetro (Bogliolo ,1976).
Cortesia do Prof. Doutor Antônio Francisco de Souza
(Doutor pela Escola Paulista de Medicina, Prof. de Patologia da Universidade Federal de Minas Gerais, Chefe do Serviço de Anatomia Patológica do Hospital Luxemburgo de Belo Horizonte).
Microscopia
"Crescimento hiperplásico das glândulas e estroma" (Kistner, 1989).
"Glândulas endometriais revestidas por epitélio pseudo-estratificado, justapostas e com áreas císticas, em meio a estroma fibrovascular" (Bogliolo, 1994).
Os
pólipos contêm uma quantidade variável de glândulas, estroma e vasos sanguíneos.
"Na maioria dos casos o quadro histológico é o da hiperplasia simples da mucosa uterina; as vezes, quase todas as glândulas são dilatadas (hiperplasia cística)" (Bogliolo, 1976).
A maioria se apresentam em um padrão histológico de endométrio basal na forma imatura, usualmente não responsivo ao estimulo hormonal (Kistner, 1989).
O padrão histológico pode ser descrito como atrófico e hiperplásico (Muylder, 1999).
Os
efeitos típicos do tamoxifeno no pólipo endometrial são: a condensação
estromal periglandular, a metaplasia epitelial e diferentes graus de atipia
(Ismail, 1994).
Morfologicamente
os pólipos endometriais podem ser classificados em:
1)
Pólipos hiperplásicos - respondem ao estrogênio e se assemelham a
hiperplasia difusa do endométrio.
2)
Pólipos funcionais - apresentam alterações glandulares semelhantes
às do endométrio circundante.
3)
Pólipos adenomiomatosos - quando se identificam quantidades
significativas de tecido muscular.
4)
Pólipos atróficos - cobertos por epitélio colunar baixo a glandular
cubóide. Resultam de alterações regressivas de um pólipo hiperplásico ou
funcional.
5)
Pseudopólipos - pequenos (menor que 1 cm), sésseis, com estrutura idêntica
ao endométrio circundante. Eles são identificados somente na fase
secretora e desaparecem com a menstruação.
Freqüência,
Incidência e Etiologia
Encontrados
em cerca de 10% dos úteros examinados em autópsia.
O
pico etário é de 40 e 50 anos (Lima, R. et al., 1979).
Bacsko
G. e Major T. (1999) em um estudo retrospectivo encontraram 163 pólipos em
1.900 histeroscopias. As pacientes com D&C previa correspondiam a 22%. As
indicações da histeroscopia eram de hemorragia em 55%, USG anormal em 25% e
esterilidade em 15%.
A
etiologia é desconhecida, originam-se como proliferações locais de tecido
endometrial coberto por epitélio. O real envolvimento do estrogênio, sem
oposição da progesterona, é desconhecido.
Foi
encontrada uma alteração genética envolvendo os cromossomos dois e doze.
Muitos
trabalhos reportam o aumento na freqüência de pólipos endometriais e
carcinomas em pacientes que usam tamoxifeno para tratamento de câncer de
mama. Isto pode ser parcialmente atribuído a outros fatores.
Vilodre
et al (1997) observou que a idade e pólipos cervicais eram fatores de
risco independentes para pólipos
endometriais. Neste mesmo estudo não houve relação significativa em relação
a paridade, uso de cigarros e anticoncepcionais orais.
Diagnóstico
Os
pólipos são freqüentemente assintomáticos.
A
sintomatologia mais comum é o sangramento irregular que não responde ao
tratamento clínico. Pode se manifestar na forma de um corrimento hemorrágico
após a menstruação, com duração de 4 a 5 dias (Kistner, 1989).
Kamel H. S. et al (2000) demonstraram que a histerosonografia apresenta uma acurácia significativamente maior que a ultra-sonografia vaginal na detecção de pólipo endometrial em casos de sangramento uterino anormal. A combinação das duas técnicas não aumentou a acurácia. A ultra-sonografia apresentou uma taxa falsa positiva de 25% e uma taxa falsa negativa de 36.2%.
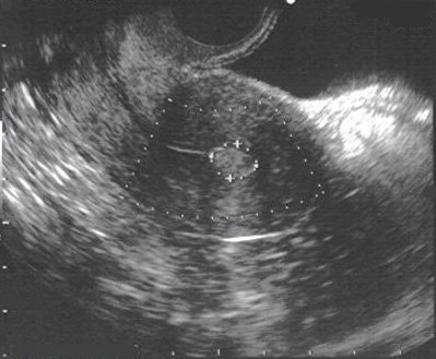
Os pólipos aparecem na USG sob a forma de um espessamento endometrial inespecífico ou
como estruturas glandulares e císticas flutuantes (Muylder, 1999).
USG de pólipo endometrial - paciente submetida a ressecção histeroscópica pelo Prof. Doutor João Bernardes.
A
curetagem uterina normalmente não retira a lesão, e o endométrio obtido
mostra sinais de hiperplasia confundindo o diagnóstico.
"Os
pólipos endometriais respondem por 34% dos diagnósticos despercebidos pela D
& C" (Copeland, 1993).
A
histerossalpingografia mostra uma falha de imagem pobremente definida e que não
distorce a cavidade uterina. Pequenos pólipos não são observados.
"A
histeroscopia é a prova diagnóstica mais sensível e tem sido aconselhada
como a etapa inicial na avaliação do sangramento uterino anormal" (Copeland, 1993).

Bacsko
G. e Major T. (1999) em um estudo retrospectivo demonstraram a alta taxa de
falso positivo da histeroscopia. O resultado do exame histológico em 153
"pólipos" foi surpreendente, mostrou 22 casos de endométrio
proliferativo, 17 casos de hiperplasia, 6 casos de endométrio secretor, 5-5
casos de fibroma e disfunção hormonal e 1-1 caso de endometrite,
adenomioses, atrofia e transformação maligna.
Lass
A. et all (1999) confirmou na histopatologia 58% dos pólipos
endometriais diagnosticados histeroscopicamente. Ainda neste mesmo estudo
demonstrou que pólipos menores que 2 cm não diminuem a taxa de gravidez na
fertilização in vitro, mas existe um
tendência para perda da gravidez.
Morfologia
histeroscópica segundo Hamou:
Pólipo
mucoso - Iguais aos pseudopólipos, podem ser sésseis ou pediculados. São
maiores que 1 cm e moveis. Possuem aparência similar ao endométrio
circundante, e eles são freqüentemente congestos. Podem ser únicos ou múltiplos.
Pólipo
fibroso - Usualmente pediculados, liso, móvel e tem dificuldade em
deformar-se com a pressão da ponta do histeroscópio. Sua superfície, quando
avaliada no aumento de 20x, é lisa, pobremente vascularizada e não se
identifica orifícios glandulares.
Terapêutica
Os
pólipos endometriais podem ser removidos com o ressectoscópio, usando a
mesma técnica da miomectomia em um procedimento relativamente fácil.
A
electrorressecção histeroscópica é inspirada na técnica de ressecção da
próstata.
A
fase ideal é a proliferativa inicial.
A
incisão é realizada sempre sob visualização direta e constante, no sentido
fundo/colo.
A
alça de corte é fixada a uma distancia do ressectoscópio e o instrumento
todo move a semelhança de uma cureta. O movimento pode ser também combinado
quando se tem uma maior prática (alça não fixa + movimento de cureta).
Segue-se
o "fatiamento" do pólipo até o miométrio, que é facilmente
identificado no aumento de 20x pelo aspecto fasciculado da estrutura deste.
O
sangramento geralmente é pequeno, mas mesmo assim coagulamos no final a
ferida cirúrgica.

Perez-Medina T. (1999) evitou a remoção de pólipos em pacientes assintomáticas e com USG vaginal Doppler negativa. O seguimento após três anos mostrou que as pacientes permaneceram clinicamente assintomáticas e com a USG vaginal Doppler negativa.
Bacsko G. e Major T. (1999) em um estudo retrospectivo mostrou que durante 153 polipectomias houve 2 perfurações e nenhuma complicação maior.
A
recorrência é pouco comum.
Adenocarcinoma
e Potencial Maligno
O potencial maligno de pólipos endometriais é baixo.
Raramente apresentam focos isolados de crescimento neoplásico.
O
câncer endometrial em mulheres pós-menopáusicas está entre 10 e 34%
associado a pólipos.
Mulheres
com pólipos endometriais possuem o risco relativo dobrado para câncer
endometrial (Petterson et al., 1985).
Os
pólipos com hiperplasia atípica são lesões precursoras do câncer
endometrial (pico etário entre 50 e 70 anos).
Referências
Anderson, W. A. D., Kissane, M. J., Patologia, Sétima Edição. Rio de Janeiro: Guanabara Koogan, 1982.
Bacsko
G., Major T.. Hysteroscopic
diagnosis and treatment of endometrial polyps. Orv Hetil 1999 Sep
12;140(37):2041-5.
Bol
S., Wanschura S., Thode B., Deichert U., Van de Ven WJ., Bartnitzke S.,
Bullerdiek J.. An endometrial polyp with a rearrangement of HMGI-C
underlying a complex cytogenetic rearrangement involving chromosomes 2 and 12.
Cancer Genet Cytogenet 1996;90(1):88-90
Copeland, Larry J..Tratado de Ginecologia. Rio de Janeiro: Guanabara Koogan S.A., 1996.
Cotran,
R. S. et al, Robbins, Patologia Estrutural e Funcional, Quinta Edição.
Rio de Janeiro: Guanabara Koogan S.A., 1996.
Filho,
Geraldo B. et al.. Bogliolo Patologia, Quinta Edição. Rio de Janeiro:
Guanabara Koogan S.A., 1994.
Gebrim,
Rodrigues L. et al.. Ginecologia Oncológica. São Paulo: Ateneu, 1999.
Gordon,
Alan G., LEWIS, B. Victor, DECHERNEY, Alan H.. Atlas
Colorido de Endoscopia Ginecológica.
Rio de Janeiro: Livraria e Editora Revinter Ltda., 1997.
Hamou, Jacques E.. Hysteroscopy and Microcolpohysteroscopy: Text and Atlas. Conn., USA: Appleton Lange, 1991.
Ismail,
S., Pathology of endometrium treated with Tamoxifen. J. Clin Pathol
1994; 47: 827-33.
Lass A., Williams G., Abusheikha N., Brinsden P.. The effect of endometrial polyps on outcomes of in vitro fertilization (IVF) cycles. J Assist Reprod Genet 1999 Sep;16(8):410-5
Muylder,
X. De, Lésions endométriales bénignes induites par le tamoxifène.
J. Gynecol Obstet Biol Reprod, 1999; 28: 420-424.
Perez-Medina
T., Martinez O., Folgueira G., Bajo J.. Which endometrial polyps should be
resected? J Am Assoc Gynecol Laparosc 1999 Feb;6(1):71-4
Vilodre L.C., Bertat R., Petters R., Reis F.M.. Cervical polyp as risk factor for hysteroscopically diagnosed endometrial polyps.Gynecol Obstet Invest 1997;44(3):191-5
| Home page | História | Instrumentos | Técnica | Indicações | Contra-indicações | Complicações | Imagens | Vídeos | Temas específicos |
| Fórum | Referências | Cursos | Enquete - opinião | Notícias (on-line) | Livro de visitas | Agradecimentos | Pesquisar | Links | Fale conosco |